健康科普 | 读懂肝内钙化灶,告别焦虑!
一看到超声报告上的“肝内钙化灶”,很多人的第一反应是心里“咯噔”一下:肝脏里怎么会有钙?是不是肝硬化前兆?会不会发展成肝癌?
别急,今天我们就来彻底讲清楚,这个听起来有点吓人的“钙化灶”,到底是怎么回事。
一、肝内钙化灶是什么?
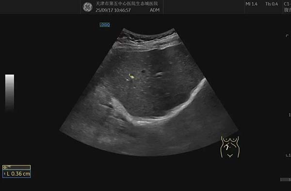
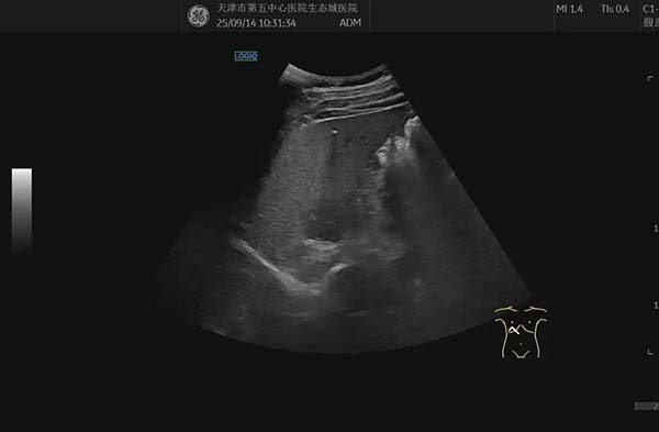
简单来说,肝内钙化灶就是肝脏某些部位出现了微小的钙盐沉积。在超声图像上,它们看起来像一个个亮白色的小点或小斑块。
它不是肿瘤,也不是活动性肝病,更像是肝脏过去某次轻微损伤后,在愈合过程中留下的一道“小疤痕”。就像皮肤受伤结痂脱落会留下印记一样,肝内钙化灶就是肝脏内部的“静态印记”,只是这个印记里含有钙质。
二、肝脏为什么会出现钙化灶?
很多人会纳闷:“我肝脏一直挺好,怎么会有这个?”其实,它的出现通常与一些“过去时”的小状况有关:
· 过往炎症的痕迹:比如小时候感染过病毒性肝炎,炎症消退后,局部组织在修复过程中就可能留下钙化点。
·微小胆管结石的残留:某些细小的胆管结石,随着时间推移,其成分逐渐钙化,最终形成稳定的钙化灶。
· 先天性的“小标记”:少数人是与生俱来的,例如胎儿期肝脏发育时形成的“肝内胆管错构瘤”,长大后就可能表现为钙化灶。
· 其他少见原因:如肝脏曾受过轻微外伤,愈合后也可能遗留钙化痕迹。


三、核心解答:它会癌变吗?需要治疗吗?
这是所有人最关心的两个问题,答案非常明确:
它不会癌变:肝内钙化灶本身是一种稳定的“陈旧性病变”,不会转变为肝癌,也不会导致肝硬化。
绝大多数无需治疗:它通常不引起任何症状(比如腹痛、乏力等都和它无关),也不影响肝脏的正常功能。因此,只要确认是单纯的钙化灶,通常不需要药物治疗,更不需要手术。
特别注意:只有在一种非常少见的情况下需要警惕——如果钙化灶同时伴随肝脏肿块、肝功能异常,或有肝癌家族史等高风险因素时,医生可能会建议进一步做CT或MRI检查,排除极少数情况(如肝癌合并钙化)。但请放心,这种情况概率极低,不必过度恐慌。
四、查出钙化灶后,我们该怎么做?
记住以下三步,轻松应对:
第一步:交给医生判断
拿着报告咨询医生,由专业医生来判断这个钙化灶的性质,以及是否需要进一步检查。这是最直接、最可靠的一步。
第二步:保持定期观察
对于已确认的单纯性钙化灶,无需特殊处理,但建议在每年的常规体检中加做一次肝脏超声检查,观察其大小和形态是否长期稳定(多数会长期稳定不变)。
第三步:科学护肝,无需“特殊”保养
不要轻信“吃钙片会加重钙化”的谣言,也无需购买任何“溶钙”保健品。真正对肝脏好的,是养成健康的生活习惯:戒酒、不熬夜、不乱吃伤肝的药物。这才是最管用的“护肝法”。
肝内钙化灶,就像是肝脏里一个安静的“小旧疤”,是超声报告上一个常见的良性发现。看到它,不必焦虑,交给医生确认后,记得定期复查就好。它不会影响您的正常生活和健康!
- 标签:
上一篇: 流感来袭,守护宝贝不做“小病号”!






津公网安备 12011602000850号